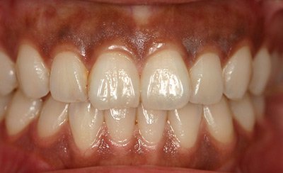
Sara was a smoker and was not happy with the progressive darkening of her gums and teeth. She was interested in getting veneers and wanted her soft tissue to complement her teeth. Laser therapy was performed, using light and water to remove the dark pigments on her gums.





